Девочки спасибо Вам,за поддержку!!!
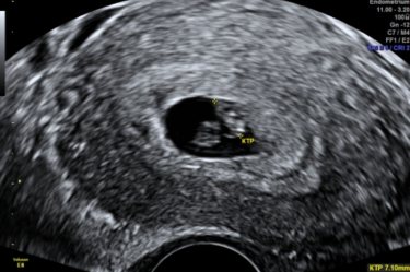
Сегодня первый раз была на узи. У нас бьётся сердечко (я его слышала). Развиваемся хорошо, по срокам.... так переживала, после зб и выкидыша. В среду иду к гинекологу.
Комментарии
Ангелина
1 ребенок
Пожаловаться
Поздравляю!
Пусть все будет хорошо ?❤️
Вероника?
1 ребенок
Пожаловаться
Поздравляю ! Легкой беременности вам !??
Марина
Пожаловаться
Поздравляю!!!
Полина@
1 ребенок
Пожаловаться
Поздравляю!Уиии,так мило!В субботу тоже идём сердечко слушать ?
Диана
1 ребенок
Пожаловаться
Поздравляю ??
Я на таком же сроке,завтра на узи?
Лл
Пожаловаться
пусть все будет хорошо ❤️❤️❤️
Читайте также
Карина
1 ребенок
Купила малышу шезлонг-качалка(где три положения), пользуемся пока самым низким, по...
Anna
1 ребенок
Всем здравствуйие,нужна помощь,разобраться. Ситуация следующая,ребенку 5 м...
Julia
1 ребенок
Девочки первого сына родила в марте.
Выписка конверт все дела.
Сейчас срок на...
Поздравляю! Пусть все будет хорошо ?❤️
Поздравляю ! Легкой беременности вам !??
Поздравляю!!!
Поздравляю!Уиии,так мило!В субботу тоже идём сердечко слушать ?
Поздравляю ?? Я на таком же сроке,завтра на узи?